Our Local Dental Porcelain Laboratory Partnership
Master Craftsmanship. Elevated Aesthetics. Uncompromised Quality.
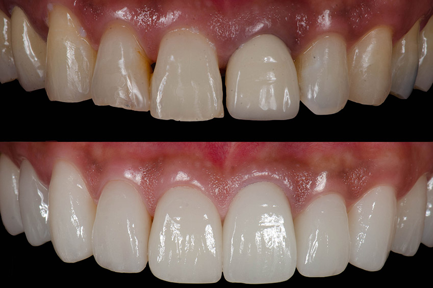
For our Marino Family Dental general practice patients and our Anelisse Aesthetic Dental Design Cases alike , we believe that a truly beautiful smile begins with precision — and that starts in the lab. That’s why we proudly partner with a local master ceramist who brings over 30 years of experience in crafting high-end porcelain restorations, including crowns, bridges, and veneers.
By working with a local laboratory — rather than outsourcing to out-of-state or overseas labs — we maintain direct communication, real-time collaboration, and the ability to fine-tune every detail of your smile. This level of partnership allows for customized control over tooth shape, length, texture, and shade, ensuring that each restoration is perfectly tailored to your features.









